Create Account




Forget Password

Authors

Vural Akın
Süleyman Demirel Üniversites...
Hasan Yasan
Süleyman Demirel Üniversites...
Çağlar Irmak
İzmir Tepecik Eğitim ve Araş...
İhsan Kulaksız
Yüksekova Devlet Hastanesi T...

Who liked this


No Record

Followers


No record

AN UNUSUAL ETIOLOGICAL AGENT IN PAROTID ABSCESS FOLLOWING BLUNT TRAUMA: KOCURIA KRISTINAE

KOCURIA KRISTINAE IN POST-TRAUMATIC PAROTID ABSCESS
Articles > Head and Neck Surgery
Submitted : 30.06.2025
Accepted : 23.09.2025
Published: 23.09.2025

Abstract

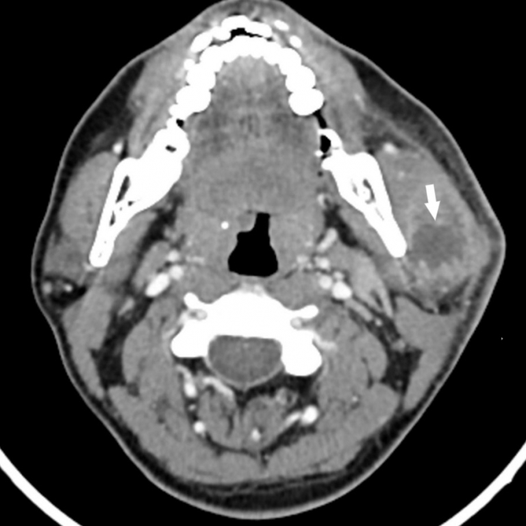
Parotid gland pathologies are clinically significant due to potential involvement of the facial nerve. The facial nerve may be affected by infectious pathologies, trauma, tumors, and iatrogenic causes. Parotid abscesses, which frequently develop in the presence of conditions such as poor oral hygiene, immunosuppression, dehydration, and sialolithiasis, require careful management for this reason. This article presents the case of a 30-year-old immunocompetent male patient with a parotid abscess secondary to blunt trauma. This case is unique in the literature both due to its development following blunt trauma and the isolation of Kocuria kristinae in culture.
Keywords: Trauma , Blunt Trauma , Parotid Abscess , Kocuria kristinae

Özet

Parotis bezi patolojileri, fasiyal sinirin potansiyel tutulumu nedeniyle klinik olarak önemlidir. Fasiyal sinir, enfeksiyöz patolojiler, travma, tümörler ve iatrojenik patolojilerden etkilenebilir. Sıklıkla kötü ağız hijyeni, immünsüpresyon, dehidratasyon ve sialolithiasis gibi durumların varlığında gelişen parotis apseleri, dikkatli bir yönetim gerektirir. Bu makalede, künt travmaya sekonder parotis apsesi gelişen 30 yaşında immünokompetan bir erkek hasta sunulmaktadır. Bu vaka, hem künt travmayı takiben gelişmesi hem de kültürde Kocuria kristinae'nin izole edilmesi nedeniyle literatürdeki ilk olgudur.
Anahtar kelimeler: Travma , Künt Travma , Parotis Absesi , Kocuria kristinae
See Full Text
See PDF Document

Comments

Login to write a comment