|
|||||
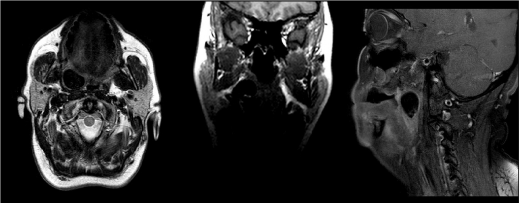
AbstractTonsilloliths are calcified masses which present in tonsillary cripts. They often contain calcium carbonate, oxalate, other magnesium salts, and ammonium radicals. They may cause complaints such as halitosis, difficulty swallowing, sore throat, and referred otalgia related to their size and location. It may go asymptomatic and may detect a submucosal or intratonsiller mass in routine controls. The diagnosis can be made clinically, as well as through direct radiography, CT, and MR imaging. In treatment, excision of tonsillolith is feasible, and in some cases, releated tonsillectomy can also be done. In this case, a giant tonsillolith located in the right palatine tonsil lodge and causing complaints of sore throat and dysphagia is presented.IntroductionTonsil stones are calcified formations that develop in the crypts of the tonsils. These precipitates frequently comprise calcium carbonate, oxalate, additional magnesium salts, and ammonium radicals [1].The precise mechanisms underlying these formations remain to be fully elucidated. The prevailing hypothesis suggests that caseous material accumulates in the tonsil crypts, where it combines with filaments of bacteria, such as Leptothrix buccalis, which are associated with chronic tonsillitis [1, 2]. Depending on the size and location, the condition may present with symptoms including halitosis, dysphagia, sore throat and referred otalgia [2, 3]. It is important to note that these lesions may be asymptomatic and, as such, may be identified during routine controls as an intra-tonsillar or submucosal mass. Although it can also be observed in children, it is most frequently observed in adults, with an average age of 50 years [2]. A clinical examination may reveal the presence of the condition in the tonsillar crypt, or it may be palpated as a hard mass in the tonsillar tissue. The diagnosis can be made clinically, or by means of direct radiography. CT and MR imaging can also be used. In the treatment, the removal of the stone, along with the removal of the associated tonsil in some cases, may be performed. The presented case involves a giant tonsillolith with unilateral localization and a preliminary diagnosis of malignancy. The etiology of this condition is discussed in the context of existing literature on the subject. Case ReportA 51-year-old female patient attended the outpatient clinic and presented with symptoms of a sore throat on the right side of her neck and discomfort during swallowing. These symptoms had been gradually worsening over the course of the past six months. A thorough examination of the oral cavity of the patient revealed the presence of swelling in the right tonsillar lobe and the right lateral part of the soft palate. Additionally, the right palatine tonsil exhibited signs of swelling and medial pushing. Bimanual palpation revealed that the right palatine tonsil was large and firm in consistency. Magnetic resonance imaging (MRI) was performed at a different healthcare facility with prediagnoses of malignancy and tonsil stones. A 2x1 cm hypointense area with sharp borders to surrounding tissues and no contrast enhancement was observed on MRI imaging in the right palatine tonsil fossa. (Figure 1).
The patient underwent a surgical procedure under general anaesthesia, during which a tonsillar stone measuring approximately 2x1 cm was extracted from the tissue of the right palatine tonsil. The excision of the right palatine tonsil was also performed (Figure 2).
Following the surgical procedure, a marked regression in the patient's complaints was noted. At the first postoperative follow-up in the first month, the patient's complaints were found to have been completely resolved. DiscussionTonsillar stones may present with varying degrees of symptomatology, contingent on their dimensions and anatomic location. The aforementioned symptoms may be manifested in the form of halitosis, sore throat, dysphagia and referred otalgia [2, 3]. In certain cases, the process may be more complex. As demonstrated in the extant literature, in certain cases, the infection has been known to penetrate the tonsil capsule, resulting in the formation of a peritonsillar abscess and trismus [4]. In a patient presenting with such symptoms, the possibility of malignancy should be considered within the framework of a differential diagnosis for tonsillar calculi. In this particular instance, the initial approach was to exclude the possibility of malignancy, with the subsequent surgical decision being made in accordance with this pre-emptive strategy. In the process of arriving at a differential diagnosis, other diseases that may be considered include third stage syphilitic lesions, tuberculosis and calcified granulomatous diseases [5]. The treatment of tonsil stones involves the removal of the stone through a process of curettage or excision. In cases where the stone is embedded in the tonsil tissue, as is the case in this instance, excision of the palatine tonsil may also be required. It is evident that there are other studies which demonstrate the occurrence of giant tonsillolith in the extant literature. Thakur et al. reported a case of giant tonsillolitis treated in a 12-year-old child [6]. As reported by Alfayez et al., a case of giant tonsillolith was observed in a 45-year-old male patient [7]. Papitsi et al. reported a case of giant tonsillolith diagnosed in a 20-year-old female patient [8]. In a report by Brooks et al., a case of bilateral occurrence of giant tonsilloliths and sialoliths was documented, attributed to the presence of contralateral ghost images [9]. Although there are analogous cases of giant tonsillolitis documented in the literature, they are limited in number. ConclusionThe present case report aims to emphasise that tonsillolitis, which may present with symptoms such as halitosis, dysphagia and sore throat, should be considered in the differential diagnosis. It is imperative to consider tonsilloliths in the differential diagnosis of patients presenting with these complaints. AcknowledgementWe would like to thank Prof Dr Ertap Akoğlu for sharing his valuable experience with us References
Presented atThis article was previously presented as an e-poster at the 43rd Turkish National Congress of Otorhinolaryngology and Head and Neck Surgery. |
|||||
| Keywords : Palatin tonsil; Tonsiller neoplazm; Farenjit; Tonsillolit | |||||
|
